医院概况
医院概况
医院简介
医院荣誉
院容院貌
品牌文化
医院党建
新闻中心
新闻中心
医院新闻
公告通知
学术活动
医疗技术
医学科普
港澳药械通
精彩专题
电子刊物
视频中心
自媒体平台
医疗服务
医疗服务
预约挂号
来院导航
楼层分布
门诊服务
住院服务
医保专区
长者医疗券
疫苗专区
停车缴费
客服中心
常见问题
医院信箱
科室导航
科室导航
门急诊系统
内科系统
外科系统
妇产儿五官系统
医技系统
众和病区
科研教学
科研教学
住培与临床教学
科研管理
继续教育
进修招录
医护管理
医护管理
医务管理
质量控制
护理风采
医联体
院务公开
院务公开
公开信息
物价公示
招标公告
GCP
人才招聘
人才招聘
招聘信息
人才招聘
住培招录
员工关怀
人才政策
导航
返回导览页
医院概况
医院简介
医院荣誉
院容院貌
品牌文化
医院党建
新闻中心
医院新闻
公告通知
学术活动
医疗技术
医学科普
港澳药械通
精彩专题
电子刊物
视频中心
自媒体平台
医疗服务
预约挂号
来院导航
楼层分布
门诊服务
住院服务
医保专区
长者医疗券
疫苗专区
停车缴费
客服中心
常见问题
医院信箱
科室导航
门急诊系统
内科系统
外科系统
妇产儿五官系统
医技系统
众和病区
科研教学
住培与临床教学
科研管理
继续教育
进修招录
医护管理
医务管理
质量控制
护理风采
医联体
院务公开
公开信息
物价公示
招标公告
GCP
人才招聘
招聘信息
人才招聘
住培招录
员工关怀
人才政策
新闻中心
新闻中心
医院概况
新闻中心
医疗服务
科室导航
科研教学
医护管理
院务公开
人才招聘
医学科普
医院新闻
公告通知
学术活动
医疗技术
医学科普
港澳药械通
精彩专题
电子刊物
视频中心
自媒体平台
医院新闻
公告通知
学术活动
医疗技术
医学科普
港澳药械通
精彩专题
电子刊物
└
医院内刊
└
活动海报
视频中心
└
医院宣传片
└
科室宣传片
└
科普视频
└
专题片
└
短视频
自媒体平台
医学科普
2026-03-13
反复血尿2个月,49岁男子查出"百万分之一"罕见癌!
49岁的王先生(化名)从未想过,自己反复出现的无痛性血尿,会牵出一个“隐匿杀手”,并最终指向一个连泌尿外科医生都极少遇见的恶性肿瘤——脐尿管癌。
了解详情
总数:
300
反复血尿2个月,49岁男子查出"百万分之一"罕见癌!
2026-03-13
当“寻缘使者”与“生命明珠”的“约会”需要助攻:—— 一场来自生殖医学的“生命奇旅”开始了
2026-03-06
女神节,送自己一份“整体盆底康复关爱礼物”
2026-03-05
高烧60天,皮肤大面积溃烂!58岁女子与罕见肿瘤的生死搏斗
2026-02-28
除夕夜一场“头痛”,差点让65岁阿姨失明......
2026-02-27
参与无偿献血,可享哪些优先用血政策 | 2月10日东莞东华医院无偿献血活动来啦
2026-02-09
产后尿不尽?可能是剖腹产疤痕在“作祟”!
2026-02-06
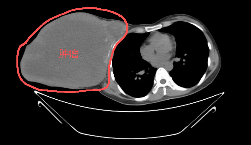
十年拖延,女子胸前赘生5公斤重肿瘤!医生术后郑重告诫…...
2026-01-22
别让“骑跨伤”损伤尿道!泌尿外科医生的健康提醒
2026-01-14
隐患真相终大白,多学科联手揪出罕见“铃铛病”
2026-01-13
高空坠落致脾破裂大出血,单孔腹腔镜“微创”精准施治
2026-01-07
心梗来临前,身体发出的这些“求救信号”,千万别不当回事!
2026-01-06
预约挂号
高端医疗
服务指南
微信服务号
智慧医院
意见反馈
返回首页
置顶
展开更多